Video: Rekomendasi Obat Sakit Gigi & Gusi Bengkak
Video oleh Prof. Fuad Husain Akbar
Video oleh Prof. Fuad Husain Akbar
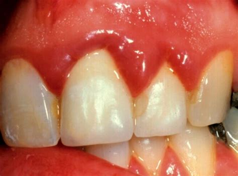
Gusi Bengkak & Sakit Sampai adalah layanan digital yang dirancang untuk membantu pengguna mendapatkan informasi lengkap dan terpercaya. Anda dapat menggunakannya dengan mengunjungi situs resmi dan mengikuti panduan yang tersedia.
Ya, Gusi Bengkak & Sakit Sampai dapat diakses secara gratis oleh semua pengguna. Tidak ada biaya tersembunyi atau langganan yang diperlukan untuk menggunakan layanan dasar yang disediakan.
Untuk mendapatkan informasi terbaru tentang Gusi Bengkak & Sakit Sampai, Anda bisa mengunjungi halaman resmi kami secara berkala. Kami selalu memperbarui konten dengan informasi terkini dan terpercaya.