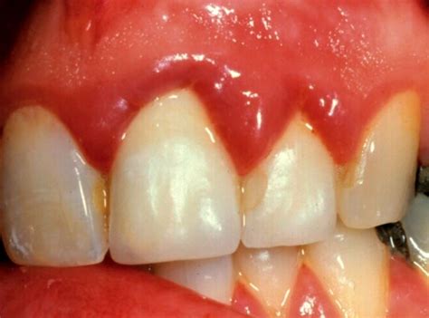
Video: APA SAJA SIH PENYEBAB GUSI BENGKAK?
Video oleh Klinik Gigi Joy Dental Jogja
Video oleh Klinik Gigi Joy Dental Jogja
Gusi Bengkak adalah layanan digital yang dirancang untuk membantu pengguna mendapatkan informasi lengkap dan terpercaya. Anda dapat menggunakannya dengan mengunjungi situs resmi dan mengikuti panduan yang tersedia.
Ya, Gusi Bengkak dapat diakses secara gratis oleh semua pengguna. Tidak ada biaya tersembunyi atau langganan yang diperlukan untuk menggunakan layanan dasar yang disediakan.
Untuk mendapatkan informasi terbaru tentang Gusi Bengkak, Anda bisa mengunjungi halaman resmi kami secara berkala. Kami selalu memperbarui konten dengan informasi terkini dan terpercaya.